If you are a lucky species, you will stumble into random gene mutations that just happen to help you survive...
Joined16 September 2020
Articles102
If there’s one thing the climate crisis has taught us, it’s that small things can accumulate and lead to big...
As COVID-19 relentlessly infects more and more of us, scientists are getting a close look at the strange and frightening...
Caught between rapidly expanding resource use and climate change-fuelled fires, the future of the Amazon rainforest and the stunning array...
To the disgust of many of our readers, we have discovered that keeping leeches as pets is actually a thing. And...
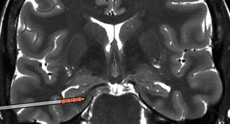
When navigating a space, it turns out human brains form eerily similar spatial-awareness brain waves. Scientists have discovered this after...
It can begin with abdominal pressure from a bloating belly. This can escalate into cramping pain and nausea. Or, a...
Those of us with hay fever are painfully familiar with the frustration caused by days of high pollen – the...
The power to be unseen has long captured our imaginations – from ancient myths to modern fantasies of rings and...
Despite several cliff-scaling efforts to locate another of its kind, so far this native Hawaiian flower appears to be unique....
A small town in Romania called Costesti is home to unusual geological manifestations – bulging bulbous boulders called trovants. These...
For Thai rescue worker Mana Srivate, performing resuscitation has been part of his job for 26 years. A few days...













