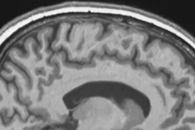
Going to space is harsh on the human body, and as a new study from our research team finds, the...
Although there are striking differences between the cells that make up your eyes, kidneys, brain and toes, the DNA blueprint...
If you told me a decade ago that I’d become an expert in mapping cemeteries, I would’ve laughed and been...
We humans have long viewed ourselves as the pinnacle of evolution. People label other species as “primitive” or “ancient” and...
Globally, more than 400 million tons of plastic are produced each year, and less than 10% is recycled. Much of...
Curious Kids is a series for children of all ages. If you have a question you’d like an expert to...
Thousands of the world’s best athletes will flock to Milan and Cortina d’Ampezzo in Italy in February 2026 for the...
A little over a year after TikTok temporarily went dark in the United States and users were greeted with a...
The Winter Olympics and Paralympics are upon us once again. This year the games come to Milan and Cortina d’Ampezzo,...
In late 2025, Interpol coordinated a global operation across 134 nations, seizing roughly 30,000 live animals, confiscating illegal plant and...
Around 64 million people worldwide suffer from heart failure, and nearly half die within the first five years of diagnosis...
In 2023, the science fiction literary magazine Clarkesworld stopped accepting new submissions because so many were generated by artificial intelligence....













