Confidential computing, quantum safe cryptography, and fully homomorphic encryption are set to change the future of data privacy as they...
How do you turn “dumb” headphones into smart ones? Rutgers engineers have invented a cheap and easy way by transforming...
The Australian tech industry has said there needs to be a better alternative than relying on the Australian and New...
The rush to digitalise has pushed businesses to move to the cloud, though, there remain nagging concerns about vendor lock-in...
If you’re looking for the best cheap Apple Watch deals, then you’ve come to the right place. We’ve rounded up...
YouMail, an anti-spam call company claims that in 2020 robocalls actually declined by 22% from 2019. I don’t believe it....
Apple has announced that it plans to create a major new chip lab in Munich as part of a 1...
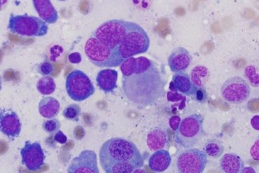
For certain blood cancers, such as acute myeloid leukemia (AML) and myelodysplastic syndrome (MDS), deciding whether patients need an aggressive...
PingSafe AI, a security company that monitors multiple breaches in real time, has uncovered a critical vulnerability in the iPhone...
About a year before many of us found ourselves with plenty of time at home to work on DIY tech,...
When it comes to password hygiene and security, even Fortune 500 businesses don’t use secure passwords according to new research...
As working from home is now quickly becoming entrenched in the workforce, a reliable internet connection is a must. Bandwidth...













