When humans look at a scene, they see objects and the relationships between them. On top of your desk, there...
Since artificial intelligence pioneer Marvin Minsky patented the principle of confocal microscopy in 1957, it has become the workhorse standard...
To address the growing threat of cyberattacks on industrial control systems, a KAUST team including Fouzi Harrou, Wu Wang and...
Scientists recently added a whopping 301 newly validated exoplanets to the total exoplanet tally. The throng of planets is the...
Rice University computer scientists have discovered an inexpensive way for tech companies to implement a rigorous form of personal data...
November 15, 2021 feature Developing methods to accurately reconstruct spatial fields using data collected by sparse sensors has been a...
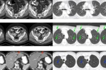
Machine learning has the potential to vastly advance medical imaging, particularly computerized tomography (CT) scanning, by reducing radiation exposure and...
Mesoplankton refers to plankton with a body size between 200–20,000 μm. Since mesoplankton are the key components of coastal ecosystems,...
To train and implement artificial neural networks, engineers require advanced devices capable of performing data-intensive computations. In recent years, research...
In recent years, some computer scientists have been exploring the potential of deep-learning techniques for virtually dressing 3D digital versions...
Nobody knows who she was, just that she was different: a teenage girl from over 50,000 years ago of such...
You may have noticed that last week, Microsoft and Nvidia announced they had trained “the world’s largest and most powerful...













