Sound waves at frequencies above the threshold for human hearing are routinely used in medical care. Also known as ultrasound, these sound waves can help clinicians diagnose and monitor disease, and can also provide first glimpses of your newest family members.
And now, patients with conditions ranging from cancer to neurodegenerative diseases like Alzheimer’s may soon benefit from recent advances in this technology.
I am a biomedical engineer who studies how focused ultrasound – the concentration of sound energy into a specific volume – can be fine-tuned to treat various conditions. Over the past few years, this technology has seen significant growth and use in the clinic. And researchers continue to discover new ways to use focused ultrasound to treat disease.
A brief history of focused ultrasound
Ultrasound is generated with a probe containing a material that converts electrical current into vibrations, and vice versa. As ultrasound waves pass through the body, they reflect off the boundaries of different types of tissue. The probe detects these reflections and converts them back into electrical signals that computers can use to create images of those tissues.
Over 80 years ago, scientists found that focusing these ultrasonic waves into a volume about the size of a grain of rice can heat up and destroy brain tissue. This effect is analogous to concentrating sunlight with a magnifying glass to ignite a dry leaf. Early investigators began testing how focused ultrasound could treat neurological disorders, pain and even cancer.
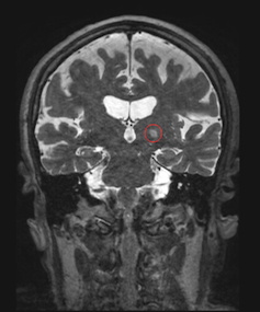
MRI of a patient treated for essential tremor using focused ultrasound, with the targeted part of the brain circled in red.
Jmarchn/Wikimedia Commons, CC BY-SA
Yet, despite these early findings, technical hurdles stood in the way of applying focused ultrasound in the clinic. For example, because the skull absorbs ultrasound energy, sending focusing beams with high enough energy to reach damaged brain tissue proved difficult. Researchers eventually overcame this problem by integrating large arrays of ultrasound transducers – the probes that convert between electrical signals and vibrations – with image-based information about skull shape and density. This change allowed researchers to better fine-tune the beams to their targets.
It is only after scientists made key advances in imaging technology and acoustic physics in recent years that the promise of ultrasound is being realized in the clinic. Hundreds of clinical trials aimed at treating dozens of conditions have been completed or are ongoing. Researchers have found notable success on a condition called essential tremor, which leads to uncontrolled shaking, usually of the hands. Focused ultrasound treatments for essential tremor are now performed routinely at many locations around the world.
I believe some of the most exciting applications for focused ultrasound include improving drug delivery to the…



