Curious Kids is a series for children of all ages. If you have a question you’d like an expert to answer, send it to [email protected].
Why do people have two sets of teeth? – Ivy D., age 11, Hyde Park, New York
Teeth help animals bite and chew food. Meat-eating carnivores tend to have sharp teeth to sink into their prey, while herbivores tend to have flatter teeth to grind down their plant-based meals.
Some animals also use their pearly whites for specialized purposes like digging or fighting. Tusks, like you see in elephants, walruses and warthogs, are one special kind of teeth – they grow continuously for as long as the animal is alive.
Over time, no matter what you use them for, teeth wear down. This is good news if you’re a rodent, such as a beaver or a rat. Because their teeth never stop growing, rodents rely on gnawing and chomping to grind their teeth down so they don’t grow so long that they cause problems.
Some animals deal with wear and tear by continuously developing new teeth as their old ones fall out. Sharks and crocodiles, for example, are what scientists call polyphyodont: They can grow nearly infinite sets of teeth.
Some toothy animals just grow new replacement teeth when the old ones fall out.
Marcos del Mazo/LightRocket via Getty Images
Like most mammals, humans are diphyodont: We have two sets of teeth – baby teeth and adult teeth. The technical term for our baby teeth is deciduous teeth because they fall out, the same way deciduous leaves fall off trees in autumn.
We are a dentist who focuses on treating kids and an anthropologist who studies how humans’ teeth and faces grow. We are both passionate about teeth and oral health care, and love thinking and learning about teeth. How did two sets become standard for human beings?
How human teeth develop
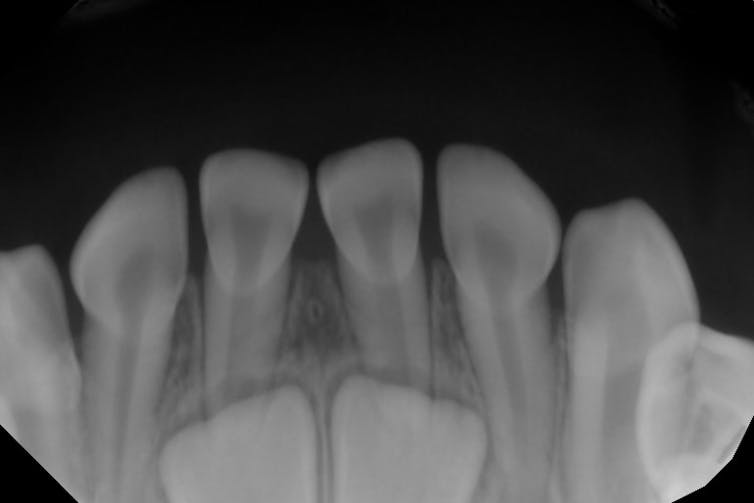
Most people are born with no teeth showing in their mouths at all, even though your baby teeth start developing before you’re even born. Baby teeth usually start poking through the gums when you’re between 6 and 8 months old. Sometimes when dentists take X-rays to check for cavities or other problems, they can see adult teeth growing within the gums.
X-ray of a child’s mouth shows two adult teeth growing in the jaw below the visible baby teeth.
David Avenetti
Baby teeth are relatively small because they need to fit in the small faces of babies and little kids. As you grow older and your face gets bigger, you have room in your mouth for more and larger teeth. Teeth have different sizes and shapes, depending on their purpose. Human front teeth are good at biting into things and tearing off a piece of food. Your back teeth are good at chewing foods into smaller bits before you swallow.
Most kids lose their first baby tooth when they’re between 5 and 6 years old, and the process slowly continues until…



